【香港商報網訊】記者 林麗青 報導:「腫瘤太大,殘肝體積過小;且大血管像拳頭一樣包着腫瘤。」34歲的胡先生因肝癌發作輾轉廣、深各家醫院,醫院均不建議手術。從病程發展來看,生存期可能僅有1-2年,再活5年的幾率幾乎是零!
幸運的是,胡先生近日來到中國醫學科學院腫瘤醫院深圳醫院肝膽胰外科主任車旭教授處就診。不願看着年輕生命就此消逝,車旭教授啟動了「一院兩區」會診機制,著名肝膽外科專家、醫科院腫瘤醫院副院長蔡建強教授親自參加討論後,邀請畢新宇教授飛赴深圳與車旭主任、張業繁教授一起,通過精細的手術切除,「極限保肝」讓一個久病的肝臟獲得新生的機會。
.jpg)
病人手術後恢復良好
11次介入和消融治療 他的肝臟已變成「鐘樓怪人」
胡先生有着先天性乙肝,青年時期由於身體沒有不適,加之當時抗病毒治療也不像現在那麼普及,所以並未進行特別治療。隨後,與大多數人一樣結婚生子,有了深愛的妻子和可愛的女兒。
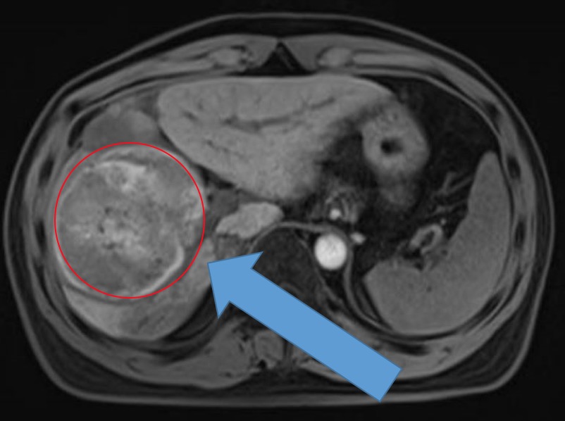
去年9月,胡先生突然出現上腹劇烈疼痛,在當地醫院急診就醫,超聲檢查提示肝右葉巨大肝癌破裂出血,由於腫瘤體積巨大,當地醫院無法行手術治療,僅給予介入止血等保守治療,這個消息對胡某一家彷彿是一道晴天霹靂,平時身體一直康健的胡某怎麼也想不到自己會突然罹患這種不治之症。為了一絲生的希望,一家人輾轉廣、深多家醫院,然而各醫院均以腫瘤巨大,殘肝體積過小,手術風險過大等原因建議患者介入或靶向治療。
隨後,胡先生先後在當地醫院進行了6次TACE(肝動脈栓塞化療)治療,以及5次射頻消融術,但治療效果均不理想,身體狀況也越來越差。最重要的是這些治療讓他的肝臟發生嚴重粘連,樣子變得像「鐘樓怪人」一樣。

術前三維重建虛擬手術規劃
要手術得「闖三關」 患者獲得京深救命「綠色通道」
消融、手術、換肝。對肝癌這個可怕的病魔,目前根治性的方式就這三種,而手術當然是第一選擇。可胡先生不是早就被判定沒有手術機會?
「他年輕,而且經過我們對殘肝體積的仔細評估,應該還有一線希望能為他保留『原裝』的肝臟。」車旭主任說,理論上如此,可實際上卻是難以上青天:一是腫瘤巨大,並且出現過破裂出血,大大增加了手術難度;二是經過早期11次的反覆治療,腫瘤與周圍組織血管炎性粘連明顯,給原本就十分困難的手術又帶來了極大的風險;三是位置很刁鑽,肝臟腫瘤緊緊的被多支血管包繞,像被一隻手緊握一樣,術中任何一支血管受損都會造成難以挽回的後果。
車旭主任安排了相關檢查評估,利用術前三維重建技術,進行了虛擬手術規劃,認為患者雖然腫瘤巨大,但通過精細操作選擇性保護殘肝組織,仍有根治性切除的可能。謹慎起見,他又聯繫了蔡建強副院長進行會診,並邀請了醫院知名肝膽外科專家畢新宇教授參加會診和共同手術。

標記出肝右葉巨大腫瘤
他的肝還能再長點 術後第二天下地喝粥,一周後出院
右三葉切除,手術難度小,但殘肝留太少肝功能無法保全,很可能出現肝衰竭!
擴大右半肝切除,盡量保留剩餘的肝臟體積,才能夠保障患者的安全。8月21日,乘坐當天第一班北京飛深圳航班的畢新宇教授,從機場直奔醫院,與車旭主任一起在手術台上小心的分離和精細的解剖,在保證足夠殘肝體積的基礎上完整切除了巨大的肝臟腫瘤,在深圳支援科室建設的北京總院張業繁教授也參加了手術,歷經3個小時順利完成了這一幾乎不可能的任務。
手術效果達到完美!胡先生第二天就可以下地活動,並開始進食喝粥,一周後就順利出院。車旭教授說,患者年輕恢復快,肝臟還會出現再生,堅持抗乙肝病毒治療,這個久病的肝臟有了重獲新生的機會。