【香港商報網訊】記者 姚志東 報導:在抗擊新冠肺炎的這場戰役中,CT影像是新冠肺炎診療的「先行軍」,相關的影像科醫生長時間不間斷工作也已是常態。眾所周知,核酸檢測作為病原學證據被公認為新冠肺炎診斷的主要參考標準,但因為採樣部位不準確等問題導致假陰性偏高的情況下, 實際工作中CT影像被相當部分的醫生作為臨床重要診斷依據。
在國家衛健委歷次《新型冠狀病毒感染的肺炎診療方案》的各試行版中,符合新冠肺炎影像學特徵的病例被定義為「疑似病例」。特別考慮湖北疫情發展的特殊情況,CT影像診斷結論也能幫助湖北「應收盡收、應治盡治」工作開展。隨着符合臨床表現的數據積累,新冠肺炎的影像學大數據特徵逐漸清晰,CT影像診斷結果變得愈發重要。

戰「疫」前線,AI火速支援CT讀片
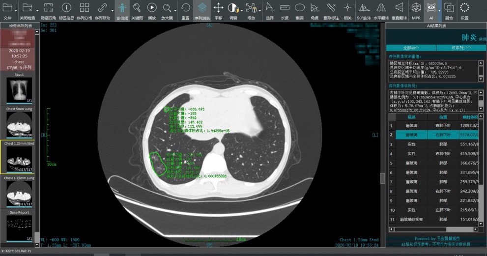
應前線需求,2月19日,平安智慧城市智慧醫療(簡稱:平安智慧醫療)新冠肺炎智能閱片系統正式上線,該系統支持遠程AI讀片和電子膠片影像共享,不僅能在15秒左右出具智能分析結果,而且準確率高達90%,可以幫助放射科醫生精準識別病灶、在更短的時間內快速出具診斷報告、同時具備電子膠片影像共享功能,減少重複拍片,可以輔助醫生儘早發現、快速報告、精準診斷。
平安智慧城市聯席總經理兼首席戰略官高孟軒介紹,平安智慧醫療新冠肺炎智能閱片系統一方面可以提升一線放射科醫生的效率,儘可能地幫助醫生精準地治療患者。另一方面,面對CT閱片量猛增、疫區一線放射科醫生短缺的情況,平安智慧醫療新冠肺炎智能閱片可以通過遠程AI讀片的方式支援。
據了解,平安智慧醫療新冠肺炎智能閱片系統率先搭載在平安醫保科技旗下平安健康(檢測)中心研發的「平安好影像」遠程診斷雲平台,為全國疫區合作定點醫院提供7*24小時免費智能遠程讀片,希望藉助雙方打造的聯合AI實驗室,輔助醫生高效精準診斷,改善醫療服務體驗,從而助力分級診療。 新冠肺炎智能閱片系統上線後,「平安好影像」遠程診斷雲平台的線上閱片量和出具影像診斷報告的質量有望進一步提升。
另據介紹,平安智慧醫療新冠肺炎智能閱片系統還開放了自有公有雲平台,對需要新冠肺炎智能閱片的醫療機構,可以採用雲端或本地部署的方式快速接入,同時支持電子膠片的存儲與共享。而且,平安智慧醫療新冠肺炎智能閱片系統還可以快速接入合作夥伴已有的影像會診平台,為平台已入駐醫療機構提供快速遠程智能閱片,和CT設備廠商快速對接,新冠肺炎智能閱片系統植入CT設備中,病人完成胸部CT掃描即可秒出AI報告。
據湖北省衛健委2月13日通報,目前湖北地區疑似病例具有肺炎影像學特徵者,均要求納入臨床診斷病例。但目前,疫情排查工作正面臨著疑似病例多、醫護人員少等諸多問題。
對此,平安集團首席科學家肖京博士表示,新冠肺炎患者在治療過程中需要反覆多次進行CT掃描。對比多次影像是非常耗時且人工無法精確完成的工作,通過平安智慧醫療的這套智能閱片系統,可以有效提高診斷精準度和提升醫生讀片效率。
平安智慧醫療發揮人工智能科技優勢開發的新冠肺炎智能閱片系統,通過人工智能分析引擎,對新冠肺炎CT影像進行智能化分析與定量評價,並對同一患者不同次掃描圖像進行對比分析,定量測量病灶的改變情況,輔助醫生對患者的病情發展趨勢、治療效果、轉歸情況等進行智能評估,幫助醫生快速、有效的完成對新冠肺炎患者的檢出、分診和評估,輔助醫護人員打贏防「疫」戰。
方便快捷易普及,為疫情檢測提供「雙保險」
隨着疫情的發展,核酸檢測出現覆蓋能力不足、檢測時間長、假陰性偏高等問題,導致一些患者錯過了早期治療,並延誤了隔離時間。相比於核酸檢測,CT影像診斷相對更容易普及。
然而,僅靠CT影像,也難以對疫情進行全面排查,再加上新冠肺炎屬於新發疾病,各地醫療機構特別是基層普遍缺乏診斷經驗。
為此,平安智慧醫療在利用臨床診斷數據充分訓練AI模型後,推出的「新冠肺炎智能閱片」 CT+AI的輔助診斷系統派上了用場,通過智能識別磨玻璃影、肺實變和混合磨玻璃影等功能,幫助醫生更為快速和準確識別病灶。並且,該系統背後依託的平安智慧醫療智能影像技術歷年來在多個國際醫療影像挑戰賽中碩果累累,比如2019年就在國際頂級醫療影像會議ISBI競賽中獲得肺癌病理分割總冠軍、內鏡影像質控總冠軍等成績。