【香港商報網訊】9月3日,昆明理工大學聯合石林天外天舉行的「石林天外天鹼性天然礦泉水對大鼠骨質疏鬆干預研究結果發佈會」在呈貢七甸石林天外天水廠舉行,雙方首次向社會大眾公佈了實驗過程和實驗結果。研究顯示,鹼性天然礦泉水可能具有一定的緩解維甲酸誘導的大鼠骨質疏鬆症症狀的作用。

嘉賓合影
會上,昆明理工大學農業與食品學院蔡聖寶博士作為研究主理人公佈了研究結果。實驗將12隻大鼠隨機分成兩組,利用維甲酸誘導大鼠形成骨質疏鬆模型,在誘導過程中,兩組大鼠餵養相同的維持飼料和不同的水。一組餵養pH9.3的石林天外天鹼性天然礦泉水,另一組餵養pH6.0的純淨水,30天後對比兩種水對大鼠骨質疏鬆的影響。
研究結果顯示,鹼性天然礦泉水組大鼠的皮質骨厚度顯著好於純淨水組大鼠。同時,鹼性天然礦泉水組大鼠的破骨細胞數量明顯少於純淨水組大鼠。

鹼性天然礦泉水組大鼠的皮質骨厚度顯著好於純淨水組大鼠,相差8.6%
研究結果表明,餵養pH9.3石林天外天鹼性天然礦泉水組的大鼠Ct-Th(皮質骨) 顯著好於純淨水組,皮質骨厚度相差了8.6% ,具有統計學差異(p<0.05)。皮質骨也叫骨皮質,是分佈在骨頭外周表面的骨密質結構,抗壓性大,皮質骨厚度與骨骼健康以及骨質疏鬆症存在密切關係。另外,餵養石林天外天鹼性天然礦泉水組的大鼠破骨細胞數量明顯少於純淨水組,相差20.36%,具有顯著的統計學差異(p<0.05)。人體骨骼處有兩種細胞,成骨細胞和破骨細胞。成骨細胞幫助建設骨骼,破骨細胞溶解破壞骨骼。正常情況下,兩者處於一個動態平衡狀態,當平衡打破,破骨細胞增多,則會出現不同程度的骨質流失,易發生骨折等情況。

鹼性天然礦泉水組大鼠破骨細胞數量明顯少於純淨水組大鼠,相差20.36%
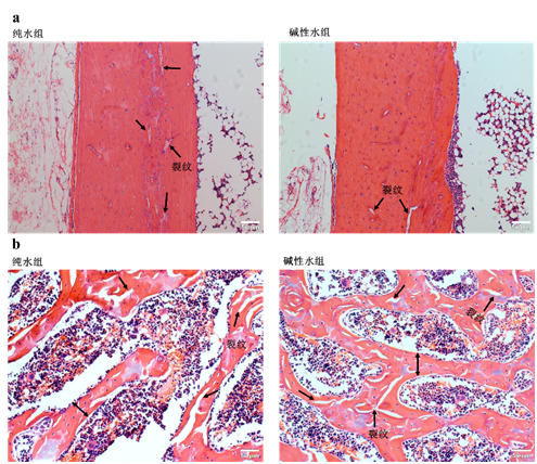
另外,鹼性天然礦泉水組大鼠骨骼裂紋也少於純淨水組。鹼性天然礦泉水組大鼠骨小梁的平均密度比純淨水組的提高了6.1%,但沒有表現出統計學上的顯著差異(p>0.05)。骨小梁是皮質骨在松質骨內的延伸部分,即骨小梁與皮質骨相連接,在骨髓腔中呈不規則立體網狀結構,如絲瓜絡樣或海綿狀,起支持造血組織的作用。
骨質疏鬆症是一種以低骨量和骨組織微結構破壞為特徵,導致骨質脆性增加和易於骨折的全身性骨代謝性疾病。根據本研究結果提示,鹼性天然礦泉水可能具有一定的緩解維甲酸誘導的大鼠骨質疏鬆症症狀的作用。

鹼性天然礦泉水組大鼠骨骼裂紋少於純淨水組大鼠
據介紹,石林天外天鹼性天然礦泉水含有鈣、鎂、鉀、鈉、偏矽酸等豐富的微量元素,具有「三高二低」的水質特點,即「高pH」、「高偏矽酸」、「高活性」、 「低礦化度」、「低鈉」。
近年來,石林天外天專注於鹼性水有益於人類健康的科學研究,投入大量人力物力與雲南省內外知名高校及專業醫療機構開展多項研究。對大鼠骨質疏鬆干預研究,開創了國內首場通過校企合作推進開展的以水作為研究對象的研究實驗。(劉楊廣慶)