日前,在哈爾濱市第一醫院心律失常與重症病房裏,64歲卻患有「風濕性心臟病、二尖瓣重度狹窄、主動脈狹窄伴關閉不全」30年病史的李女士激動的對哈爾濱市第一醫院心律失常與重症病房主任趙侃說,「謝謝您又救了我。21年了,我這條命都是您給的呀!幸虧您這位大專家把現代心血管領域最先進的介入技術全都為我應用上了。」

2000年,43歲的李女士第一次慕名找到趙侃就診時,心臟B超顯示「風濕性心臟病、二尖瓣重度狹窄、主動脈瓣輕中度狹窄伴關閉不全、三尖瓣中度關閉不全」。二尖瓣瓣口直徑0.6mm,EF:56%。趙侃為其進行「二尖瓣球囊成形術」,術後患者二尖瓣瓣口直徑恢復至2.8mm,EF:62%,臨床症狀恢復。
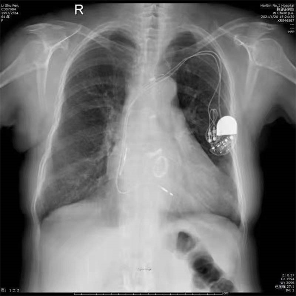
2008 年,李女士又因「病態竇房結綜合徵」再次去趙侃科室就診,給予「心臟永久性生理性雙腔起搏器」治療,患者心律(心率)恢復正常。

2013年,李女士因左心房增大,出現陣發性房顫,心房血栓脫落,突發腦卒中,出現語言障礙及肢體運動障礙,又一次去趙侃科室就診,給予溶栓、抗凝、對症治療後,患者語言障礙及肢體運動障礙恢復。
2021年1月,李女士因「二尖瓣重度狹窄、 主動脈重度度狹窄伴關閉不全、三尖瓣關閉不全、心房纖顫」曾在其他醫院心外科就診,外院給予患者行「主動脈瓣及二尖瓣人工瓣膜置換術+三尖瓣成形術,術後長期口服華法林2.25mg。 術前行心臟血管介入檢查提示:右冠狀動脈左室後支管腔95%狹窄,未給予處置。

2021年4月,李女士因「陣發性胸痛,胸悶、心悸30年余,加重一周」到趙侃的科室入院治療。查體:血壓140/100mmHg,心界輕大,心率86次/分,心律絕對不規則,二尖瓣、主動脈瓣區聞及機械瓣音,瓣膜啟閉音等良好。輔助檢查心電圖顯示:心房纖顫,心率:86次/分伴ST-T變化;心臟超聲顯示:1、左心增大,余房,室內徑正常範圍,右心內可見起搏器電極強回聲;2、室間隔增厚,左室壁厚度正常範圍,左室壁運動幅度及收縮期增厚率普遍減低,下壁明顯減低;3、主動脈瓣及二尖瓣可見機械瓣強回聲,瓣架及結構固定,瓣周圍未見明顯異常回聲,未見明顯瓣周漏,瓣葉活動良好,余瓣膜結構未見異常,CDF:收縮期三尖瓣少量反流信號,舒張期主動脈瓣可見少量返流信號;4、主、肺動脈內徑正常範圍、估測PASP:49mmHg; 5、房、室間隔連續完整;6、三維超聲心動圖:各房室腔內璧較光滑、房室瓣及半月瓣顯示清漸、TV舒張期二尖瓣環運動速度減低,EF:55%。凝血測定:PT 國際標準化比值 INR 1.49;Y-GT 104.0lU/L;FT3 2.49pg/ml、FT4 1.15ng/dl,TSH 5.3uIU/ml、 血清促甲狀腺激素 5.750ulU/ml; 糖類抗原CA724 26.30U/ml.細胞角蛋白19片段4.65ng/ml。確定診斷為:不穩定型心絞痛、 冠狀動脈粥樣硬化性心臟病;心律失常、 心房顫動;風濕性二尖瓣、主動脈瓣三尖瓣聯合瓣膜病; 二尖瓣機械瓣置換狀態、主動脈瓣機械瓣置換狀態 、三尖瓣成形術後;心臟永久性生理性雙腔起搏器術後;高血壓、高心病;亞臨床甲狀腺功能減退。

針對上述症狀,趙侃團隊為其進行心臟永久性雙腔起搏器的優化、抗凝、擴冠、控制心衰、對症治療,低鹽低脂飲食等。李女士胸痛、心悸症狀緩解後出院。
出院前,患者和家屬一再對趙侃及其團隊表示衷心的感謝,感謝其在生命三次最危重時刻給予的救治,並且將現代心血管領域最先進的介入技術應用在她的治療中。據了解李女士現在尚能生活自理。回家恢復一段體能後,會再次回到哈爾濱市第一醫院心律失常與重症病房由趙侃團隊擇期為李女士行冠脈介入治療。(裴振萍 王琳 江麗波 蘇航 郭臘月)