近日,隨着新冠疫苗向60歲以上的老年人群體開放接種,家住金灣的67歲李伯伯積極響應,來到社區醫院進行接種前的身體狀況評估。社區醫院的醫護人員發現,李伯伯的心率在靜息狀態下維持在110次/分,建議他到心血管科門診進一步檢查。
「沒事的,五年前我中風住院的時候醫生也說我心率快,但查過一輪也沒發現什麼問題,現在我沒有什麼不舒服,心率快一點不要緊的。」李伯伯爭辯道,但一聽到沒有心血管專科醫師的診斷證明,就不能打新冠疫苗,李伯伯只好馬上到廣東省人民醫院珠海醫院(以下簡稱「省醫珠海醫院」)就診。

經過詳細的問診和查體後,省醫珠海醫院心血管科郭曉碧主任意識到李伯伯的心率加快可能不簡單,於是開出了心臟超聲檢查。由廣東省人民醫院委派、常駐省醫珠海醫院的心臟超聲專家何亞樂主任經仔細檢查發現,在李伯伯心臟房間隔的右心房面有一團若隱若現的腫塊,性質不明。為了進一步明確腫塊的性質,在一個晚上的禁食準備後,何亞樂主任第二天早上為李伯伯進行了經食道心臟超聲檢查。
根據患者房間隔腫塊的超聲表現,憑藉多年的檢查經驗,何亞樂主任很快就辨認出了這是一例罕見的房間隔脂肪瘤,腫瘤大小已達4×2cm,如果不儘快切除,隨着腫瘤繼續侵犯房間隔組織有可能會造成傳導阻滯、更為嚴重的心律失常,甚至心功能不全等危險!
一次手術解決兩大「心病」
經過醫生的溝通和解釋,李伯伯多年的心率增快之謎被揭開了,為了避免拖延造成更嚴重的後果,他立即同意了做外科手術切除這個心臟腫瘤。但是,新的問題又來了,手術前的冠脈造影檢查發現,李伯伯冠狀動脈中的前降支重度狹窄,也就是說李伯伯合併有嚴重的冠心病。
手術經驗豐富的廣東省人民醫院心外科常駐專家謝斌主任研究病情後,考慮到患者心臟病情複雜,既往還有高血壓、腦梗死病史,手術風險較高,為了降低手術創傷,決定採取經胸腔鏡微創手術的方式,一站式解決兩個心臟病,並邀請了麻醉科、ICU等相關科室組成MDT團隊進行術前會診,制定「經胸腔鏡心臟腫瘤切除術聯合冠狀動脈搭橋術」的詳細方案。

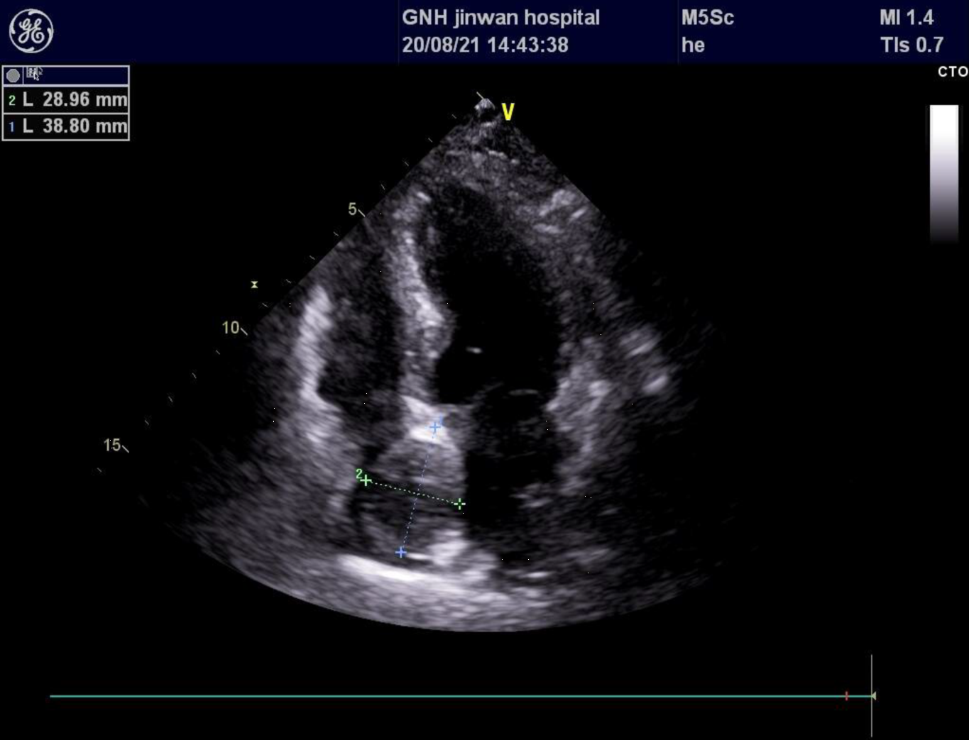
術前心臟彩超檢查發現房間隔右房面佔位性病變
手術過程很順利,術中切下來的腫塊病理結果證實腫瘤類型的確為脂肪瘤。術後李伯伯恢復良好,第四天就從ICU轉回了普通病房,不久之後就康復出院了。從發現瘤子,到出院不過20天,術後傷口大小不到4cm。
什麼是心臟脂肪瘤?
據省醫珠海醫院心血管科專家介紹,原發性心臟腫瘤是一類罕見疾病,發生率不到0.1%,其中病理類型為脂肪瘤的僅占其中的8.4%,極為罕見。目前病因尚未明確,文獻資料多為個案報道,約1/2發生於心內膜下區域,其餘均勻分散在心肌和心外膜下區域。腫瘤也可能發生於心臟瓣膜。
儘管多數脂肪瘤大小不超過數厘米,但大至4.8kg的脂肪瘤也有報道。脂肪瘤多為良性,但是隨着腫瘤體積增大可造成上下腔靜脈或心室流入道、流出道阻塞,有部分情況可侵犯局部組織造成相關的症狀(如心律失常、傳導阻滯或猝死),其中瓣膜腫瘤類型能引起心功能不全和心衰症狀。一般可經超聲心動圖以及MRI顯示的獨特脂肪模式確診。由於心肌脂肪瘤可引起症狀且瘤體進行性生長,因此需要手術切除。
什麼是胸腔鏡心臟手術?
傳統心血管外科手術,多採用胸骨正中切口,部分採用左胸後外側切口,隨着心血管手術的安全性不斷提高,減小術中創傷切口及改善術後切口疤痕程度等問題日益受到重視。胸腔鏡技術被認為是自體外循環問世以來,是心臟外科領域裏又一次重大技術革命,是現代微創心臟外科的代表性手術。

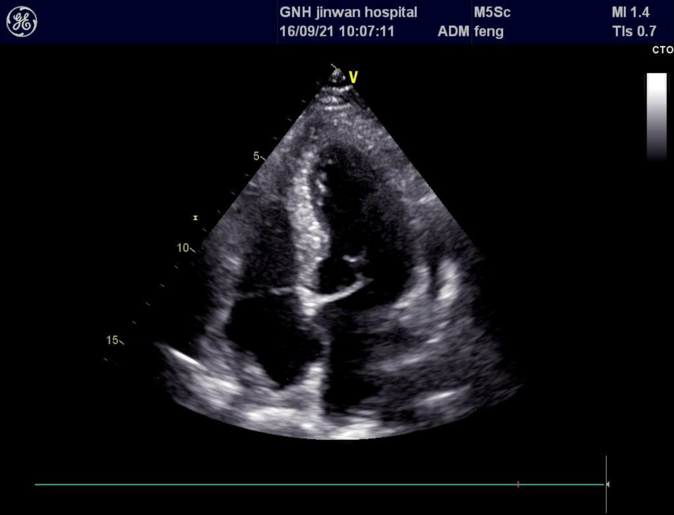
術後的心臟彩超影像
與傳統的手術相比,胸腔鏡微創心臟外科手術具有以下優點:皮膚切口小,不切斷肌肉,無骨骼損傷,創傷小恢復快,手術後疼痛輕,5-7天就可以出院,目前在全國一些大的心血管中心已得到成熟的應用。
在廣東省人民醫院謝斌主任、曾慶詩主任領銜的心臟手術和麻醉團隊的支持下,省醫珠海醫院目前已完成心臟外科微創手術過百例,治療的疾病類型涵蓋瓣膜病、先心病、冠心病、心肌病、心臟腫瘤等,在多個方面達到國內先進水平。手術患者最大年齡83歲,均預後良好。(記者 黃裕勇 通訊員 曹惠儀)
頂圖:廣東省人民醫珠海醫院心外微創手術現場手術中