近日,哈爾濱市第一醫院心律失常與心臟重症病房趙侃教授團隊運用國內領先技術,成功為兩位高齡老人植入了3.0T磁共振兼容大容量電池雙腔起搏器,開啟了心律失常起搏治療的新時代。該起搏器打破了傳統局限,可消除植入後的磁共振掃描限制,且使用壽命長,為心律失常患者提供了更便捷、更安全的後續診斷、治療保障,切實提升了患者的植入體驗。

ENDURITY MRI™ 雙腔起搏器
77歲的王大爺和84歲的李大爺長期遭受頭暈、乏力的困擾,吃不好、站不穩,經常摔跤,嚴重影響了生活質量,近日慕名來到哈爾濱市第一醫院向趙侃教授求醫問診,尋求解決辦法。經檢查和評估後,兩位患者被診斷為Ⅲ度房室傳導阻滯。趙侃教授團隊考慮到病人年齡偏大,綜合分析患者年齡、基礎疾病以及未來進行核磁共振檢查(MRI)的潛在需求,核磁共振檢查(MRI)是國際上公認的針對軟組織、內臟器官檢查的金指標,如果患者安裝傳統的心臟起搏器後再進行核磁檢查,除了會引起鐵磁性元件的損害,造成起搏器工作異常,甚至會出現參數紊亂、電極過熱甚至危及生命的不良後果。在與病人家屬詳細商討分析後,決定為患者安裝3.0T磁共振兼容大容量電池雙腔起搏器。經過周密的術前準備,趙侃主任團隊順利為兩位高齡患者植入了ENDURITY MRI™起搏器。術後患者心臟起搏器工作狀態良好,症狀明顯改善。

患者術前心電圖改變:Ⅲ--AVB

患者術後心電圖改變:雙腔起搏器 VDD起搏模式
核磁共振檢查(MRI)長期以來被認為是植入傳統起搏器患者的禁忌證,主要是因為核磁檢查時會產生高強度的靜磁場、梯度磁場和射頻磁場。磁場可能會造成起搏器振動或移位,導致元器件受損或故障,導線頭端一旦溫度升高,會出現異常電刺激,導致心肌受損、心律失常。而ENDURITY MRI™起搏器是經過材料科學家、臨床醫學工程師和臨床醫師的共同努力,改進了起搏系統的材料,並且為起搏器的電極和脈衝發生器分別設計了特殊的抗磁裝置,使得整套起搏系統可以在特定場強(通常為1.5T--3.0T)的磁共振中正常工作。

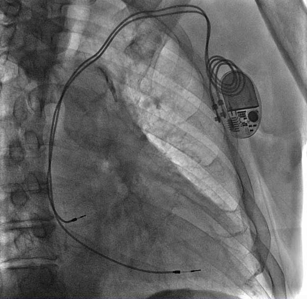
趙侃團隊ENDURITY MRI™ 雙腔起搏器植入術中

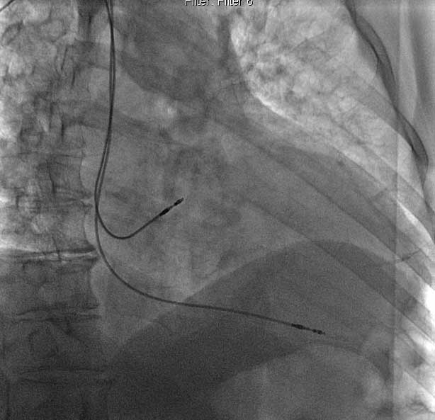
ENDURITY MRI™ 雙腔起搏器術後DSA影像
據哈爾濱市第一醫院心律失常與心臟重症病房趙侃教授介紹,這種新型ENDURITY MRI™起搏器體積小、輕薄,使用期能達到10-12年,可減少更換次數,降低感染風險;無掃描部位和體位限制,無患者年齡限制,無MRI掃描時長限制,可以實現全身無限制磁共振兼容;安全提供卓越的成像質量,同等情況下掃描產生的熱量更低,更安全,更耐受,患者體驗更加舒適;能夠減少因更換起搏器和囊袋壓力過大而引起的感染風險;ENDURITY MRI™強大的AT/AF診斷功能可以有效地較早通報房顫事件,保障患者安全。

ENDURITY MRI™ 雙腔起搏器術後DSA影像
趙侃教授說,在我國,需要植入心臟起搏器的患者多為65歲以上中老年人,其中的大多數患者在植入起搏器後,又因其它疾病需行核磁共振(MRI)檢查,比如卒中、前列腺癌、骨關節炎、肝腎疾病、結直腸癌等。運用新型「抗核磁 全自動 超大電池容量」心臟雙腔起搏器真正打破了傳統心臟起搏器的軟肋,讓高齡患者能夠享受更優質的醫療資源,也消除了患者和醫生在植入器械上的後顧之憂,希望此項新技術的大力推進與普及,真正使醫學研究「新」成果轉化為更多心律失常患者的「心」福祉。
百年市一院將以「能力作風建設年」為契機,堅守為民初心,勇於探索創新,持續攻堅克難,全力為患者解決實際難題,不斷滿足患者心血管疾病診療保障需求,提升群眾就醫獲得感。(裴振萍 王琳 李曉暉 安晨菲)
延伸閱讀:
【專家簡介】
趙侃,主任醫師、教授、醫學博士、博士後,碩士研究生導師。現任哈爾濱市第一醫院心律失常與心臟重症病房主任,學科帶頭人。
趙侃教授從1988年至2021年始終從事心內科臨床工作和心臟病的介入治療工作32年,迄今累計完成心臟介入手術10000餘例,總成功率95%,並創下32年內無心臟介入相關併發症的佳績。他多次出國訪問、講學,是國內、省內有突出貢獻的中青年心血管介入專家。目前獲省部及獎勵10餘項、專著1部、發表文章30餘篇。他1990年完成東北地區首例室上性心動過速射頻消融術;1991年完成東北地區首例永久性雙腔起搏器置入術;1992年完成省內首例冠脈支架血管成形術;1994年完成東北地區首例經皮心腔內激光成形術;1997年完成東北地區首例經皮頸、椎動脈支架血管成形術;2000年完成東北地區首例左室室速的射頻消融術;2006年完成國內首例終末期心衰患者三腔除顫起搏器置入術(CRT-D);2007年--完成東北地區首例非全麻狀態下主動脈夾層的覆膜支架成形術。
趙侃任中華醫學會黑龍江省急診急救分會副主任委員,中華醫學會哈爾濱急診急救分會副主任委員,衛生部高質耗材評審組高評委,中國心肺復甦指南審議組高評委,國家醫學考試中心心血管介入考試主任考官,黑龍江省住培醫師規範化培訓心血管組副主任委員、評估專家,黑龍江省微循環與血液流變學學會副理事長,黑龍江省醫學會醫療事故鑑定組特約專家,中華免疫學會終身會員,黑龍江省免疫學會第六屆理事會理事,中國醫刊編委,中國醫藥中國醫藥衛生編委,中國醫藥論壇編委,醫學創新編委,哈爾濱醫學會醫療事故鑑定組特約專家。