近日,23歲的留美學生小林(化名),突發不適,被反覆高燒折磨4天後,扛不住,火速打「飛的」回國。在深圳市南山區人民醫院(以下簡稱為「南山醫院」)感染科、急診科、檢驗科等多學科團隊努力下,「揪」出致病「元兇」,確診為罕見的傷寒立克次體感染。經過針對性治療,身體迅速恢復,順利出院。
高燒四天,打「飛的」回國快速就醫
小林是洛杉磯一高校的留學生,8月中旬的一天,因熬夜勞累,免疫力下降,他突發高燒,體溫一度飆升至40℃以上。
起初,他誤以為只是普通的病毒感染,便自行服用了幾次布洛芬。服藥後,體溫可短暫下降,但持續不了多久,又燒了起來。在反覆高熱4天後,更伴隨着胸悶、噁心以及食慾減退等令人擔憂的症狀。
在美四年的他,深知美國求醫的難與貴,跟家人溝通後,他收拾行李,買了最近一班到香港的飛機。過關到達深圳後,小林顧不得回家,頂着高燒直接到了南山醫院。
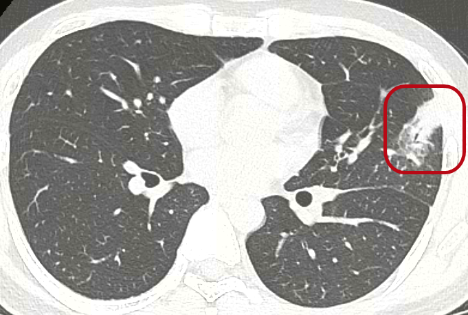
早上7點23分,小林掛上了急診號。半小時內,急診科醫護高效完成接診、打退燒針、抽血及胸部CT等診療。CT初步報告結果顯示,左肺上葉感染。

9點10分,當小林順利安穩得躺在感染科病床上,他父母懸着的心終於放下了一半,「哪怕千里迢迢回國,這看病速度也比美國強太多,還是國內醫療安全感高」。
肺炎或是「煙霧彈」,感染科團隊精準用藥
第二天,小林入院後進一步檢查的結果出來了,幾個異常指標引起了感染科醫療團隊的重視:肝功能提示肝細胞受損,血塗片顯示8%的異型淋巴細胞。同時,他的胸部CT結果顯示,有脾臟腫大跡象。這是一系列難以用單純的肺炎解釋的全身反應。
憑藉豐富的臨床經驗,感染科醫療團隊進行了縝密分析:患者肺部病灶本身並不大,不至於引起這麼明顯的感染中毒症狀,更不至於累及全身,引起多器官的反應。於是,從地理和生物兩方面因素入手,團隊進一步追溯病原體。
感染科王紅燕醫生表示,洛杉磯與深圳在氣候上相似,均位於環太平洋區域,然而洛杉磯在森林資源及物種方面更為豐饒,這也導致了其生態系統中病原體的多樣性,從而可能孕育出包括萊姆病、無形體病等在內的國內罕見自然疫源性傳染病。
團隊據此初步判斷,肺部病變很可能只是迷惑人眼的「煙霧彈」,小林很可能正遭受着當地某種特殊病原體的侵襲。
跟細菌感染不同,大多數特殊病原體,比如立克次體、螺旋體、衣原體等,沒有細胞壁,且喜歡在細胞內寄生,常用的β-內酰胺類抗生素(青黴素、頭孢類)作用於細胞壁,療效往往受限。
經過縝密分析與討論病情後,感染科團隊迅速調整用藥方案,轉而採用能夠「深入細胞內部」作戰的多西環素(四環素類藥物),以期達到更精準有效的治療效果。
經驗性治療下,小林的身體有了顯著的改善跡象,入院僅兩天,體溫已穩定降至38°C以下,精神狀態與食慾也有了明顯提升。這無疑為全家人帶來了莫大寬慰。
精準分析,「揪」出致病「元兇」
「醫生們推測的特殊病原體是啥」、「會留後遺症嗎」、「以後還會反覆嗎?」儘管病情有所好轉,小林和他的家人,仍焦慮不安。
感染科團隊與小林及其家人充分溝通後,決定採取更為精準的檢測手段,採用二代宏基因組測序(mNGS)技術,「揪」出致病元兇。
24小時內,檢測結果出爐,確認小林高燒的真正元兇是傷寒立克次體——這是一種本地罕見,通過鼠蚤傳播的特殊病原體。而感染科前期選用的多西環素,正是這一病原體的首選用藥。

聽到醫生科普該病原體是經由鼠蚤傳播的時候,小林回憶起,他在洛杉磯居住的公寓沒有老鼠,但發病前兩天把一隻平時放養在戶外的貓帶回家了。「病原體可能就是由這隻貓帶回來的。」小林的主治醫師鄧向斌分析道。
經過在家數日針對性鞏固治療,小林最終痊癒。
新型檢測,助力臨床診斷罕見病原體感染
值得注意的是,感染立克次體後,主要的臨床表現是發熱、頭痛和皮疹,呈急性表現。這些症狀與病毒感染極為相似,臨床上難以直接區分。若未經及時治療或採取不當措施,病情可能會惡化,出現嚴重的高熱,導致肝脾腫大、心肌炎、腦水腫甚至急性呼吸窘迫綜合徵等嚴重後果,危及生命。
深圳市南山區感染科王紅燕醫生介紹,立克次體有多種,在深圳,比較常見的是東方立克次體感染引起的「恙蟲病」,可以通過典型的皮疹(焦痂)診斷。而另外幾種,如流行性斑疹傷寒、人無形體病,比較難通過臨床表現明確,其病原體也難以通過培養或塗片等常規臨床病原體鑑定方式判定,相關抗體檢測(外斐試驗),因與多種其他病原體(如結核、布魯氏菌)等交叉,也不能精準判別。
不過,隨着科學技術的飛速發展,特別是基因檢測技術的普及與應用,高效、精準地診斷立克次體等病原體有了重要技術革新。深圳市南山區人民醫院檢驗科李桂秋主任醫師介紹,南山醫院除了開展包含上萬種病原體的宏基因測序(mNGS)外,還針對臨床常見病原體,開展了靶向基因測序(tNGS),這兩項技術有助於感染性疾病病原體的鑑別,也在發熱查因中起到了非常重要的作用。目前已作為南山醫院常規檢測項目,24小時就能出結果。(記者 林麗青)