左手動不了,說不了話。
這是10月10日突然發生在老林身上的事,那天,67歲的他正準備吃午飯,中風就這樣不期而至。家人把他送到當地醫院,醫生一邊檢查、溶栓,一邊緊急聯繫,準備把他送到南方醫科大學深圳醫院神經內科。
老林:這是我第四次中風
11點發病,12點溶栓,下午2點,老林出現在南方醫科大學深圳醫院急診科。神經內科副主任醫師黎凱鋒剛剛處理完兩台急診手術,沒來得及喘口氣,又到急診科等老林。
在與當地醫生溝通的微信群裏,黎凱鋒得知,老林堵的是右側大腦中動脈的一個分支血管,雖然不大,但很重要,影響了左邊身體的活動。
當天,神經內科開通的三條綠色通道裏,有一條屬於老林,很快,醫生為他開通了血管,老林的左手左腳瞬間就抬了起來。恢復行動後,在神經內科NICU,他顫顫巍巍地舉起四個手指:
「第四次了!」
意思是,這是他第四次中風。以為挺不過去了,沒想到又僥倖了一回。
醫生:不能放任中風一再發生!
四次中風,這是在死亡的邊緣瘋狂試探啊,這次,醫生不會輕易放過他。
據老林說,自己是「中風體質」,此前有過多次頭暈,去醫院看病,三次被診斷「中風」,但症狀都很輕,也沒怎麼幹預,這次最嚴重。
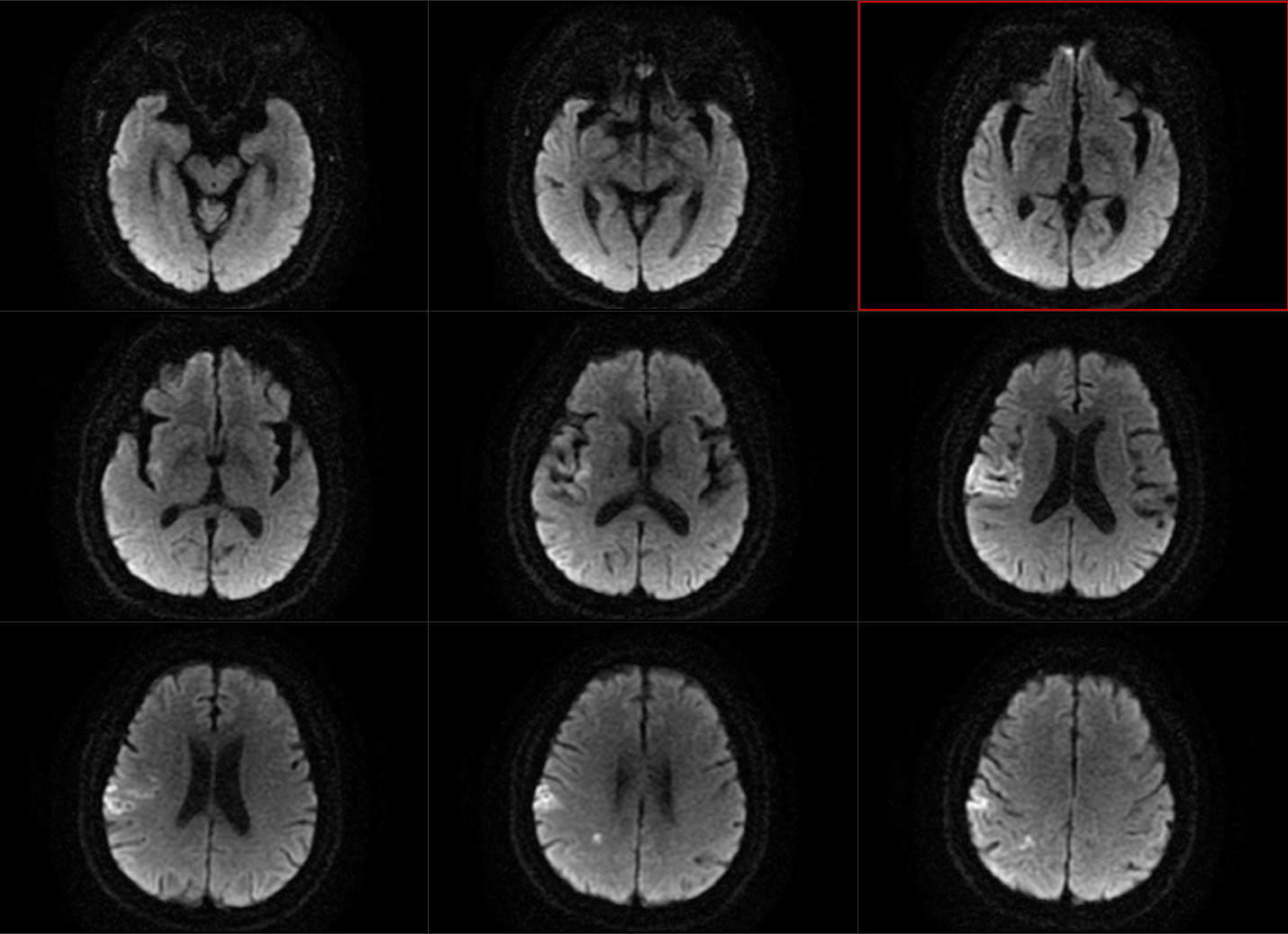
醫生可不敢怠慢,仔細讀片,發現在老林的腦裏,果然分布着兩片腦梗死:一片是這次新發,另一片是陳舊性的。值得留意的是,四次中風堵塞的還都是不同血管!
正常來說,第一次中風發生時,就應該引起重視,要追查到底,找出病因解決掉,怎麼可以放任它一再發生呢?
像老林遭遇的中風,也稱缺血性腦卒中,大多由動脈硬化、血管狹窄等引起,可是檢查顯示,老林的腦血管都長挺好,看起來沒問題,那有沒有可能是心源性疾病導致的?這也是引起中風的常見病因。
巧的是,術後老林在NICU時,護士在監視器上捕捉到了一個異常信號:房顫。雖然這個信號一閃而過,後來也沒有再出現過,卻在發生的那個瞬間被護士一眼捕捉到。
另外,中風病人都會做TCD發泡試驗,正常來說,從手臂靜脈打入的微小氣泡,不應該出現在腦血管裏。但是,醫生在老林的腦血管里發現了氣泡。
「這說明他的左心房和右心房之間可能存在空隙,也就是卵圓孔未閉。」
是房顫,還是卵圓孔未閉?
隨後,醫生為老林安排了動態心電圖和經食道心臟彩超,結果證實,房顫和卵圓孔未閉,通通都有!


這就是典型的心源性中風,「發病在心、傷害在腦」,因為有房顫,心房跳動紊亂,容易長血栓;因為卵圓孔未閉,血栓容易通過卵圓孔進入左心和體循環,引起中風。buff疊加,中風風險直線升高!
接下來,老林必須把這兩個隱患處理好,以絕中風後患。
沒有無緣無故的中風,只有埋藏已久的風險。
中風發病率、致殘率、復發率和死亡率都高,一旦發生,應該及時就醫,積極查找原因,同時,要學會識別中風信號。
1:看到1張不對稱的臉
2:查兩隻手臂是否有單側無力
0:「聆(零)聽講話是否清晰」
當身邊有人出現以上症狀,立即撥打急救電話,儘快就醫!(記者 林麗青 通訊員 林奕旋)