
人贓并獲時,女子竟然用日語對警察道歉說“おわび申し上げます”(我對此非常抱歉)

事后,警察在檢查護照時發現,該女子確系中國人

真鉆在X光下是無法被發現的。
原標題:中國女子泰國珠寶展上吞食鉆石被抓后飚日語
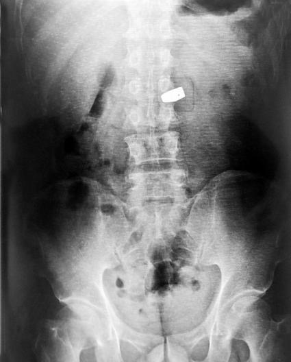
一名中國女游客秦某,在泰國曼谷珠寶展上趁人不備,把一顆價值200萬人民幣的 6克拉鉆石囫圇吞下。警方通過X光,找到位于其大腸中的鉆石,并讓醫生使用腸鏡等器械,將鉆石從該女子的腸中取出。人贓并獲時,女子竟然用日語對警察道歉 說“おわび申し上げます”(我對此非常抱歉)。
事后,警察在檢查護照時發現,該女子確系中國人。但是,值得注意的是,失竊的珠寶商也被一同抓了起來,因為涉嫌高價販賣假鉆——據悉,真鉆在X光下是無法被發現的。