秋风起、蟹脚痒
又到了吃蟹的季节
最近螃蟹成了当之无愧的「霸屏王」
清蒸、盐焗、麻辣炒
咋吃咋香!
还有不少人还喜欢吃生的
醉蟹

蟹肉的鲜嫩裹挟着清甜的酒香
芳香无腥,味道鲜美
好吃到根本停不下来!
手口并用、十指流油
痛快淋漓!
不过有人吃了这道菜後
结果「惨」了
一家三口吃了醉蟹 1个月後全都进了医院
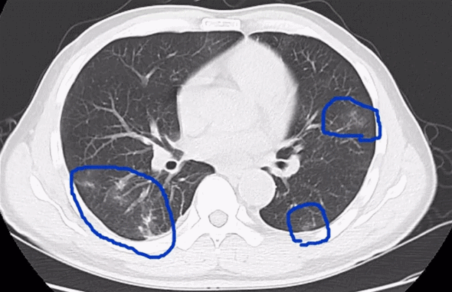
前不久,深圳市人民医院感染内科来了一家三口,他们先後出现了发热、腹痛、腹胀、乏力、食欲下降、乾咳等症状。
在医院检查发现,3人的血常规中嗜酸性粒细胞明显升高。经过寄生虫抗体、CT等检查,他们都被诊断为「肺吸虫病」。

细问才知道,这家人品尝了今年的「头啖蟹」,而且是味道鲜美的醉蟹。1个月後病发,一家人都进了医院。
如果就医不及时,寄生虫便会侵犯大脑引起脑疝,有可能连命都保不住。
幸运的是,经过积极治疗,目前这一家3口已痊愈出院。
这个「醉蟹病」究竟是啥病?
肺吸虫病也叫并殖吸虫病,由并殖吸虫寄生在人体脏器导致的疾病。
人被感染的主要途径是生食或半生食(如腌吃、醉吃或烤吃)被并殖吸虫囊蚴感染的淡水蟹或蝲蛄,或饮用被污染的生水。
类似的病例此前都有报道,主要分布在直接捕食淡水蟹的地区,夏秋季高发,喜食醉蟹的地区四季均可发病。
01. 得了这病有啥症状?
并殖吸虫寄生於肺部,常引起咳嗽、胸痛、咳铁锈色痰;
虫体在腹腔脏器间移行,引起腹痛、腹泻、恶心、呕吐等症状,侵犯肝脏可导致肝功能异常;
虫体若侵入大脑,可出现头痛、头晕、癫痫、感觉异常等;
此外,也可表现为皮下结节或包块。
02. 吃了生海鲜後,多久能发现肺吸虫病?
肺吸虫病的临床表现複杂多样,起病多比较缓慢,潜伏期可短至数日,也可长达10年以上,多为3~6个月。
03. 不幸染上该怎么办?
一旦诊断肺吸虫病,应尽快到医院的感染专科就诊,尽早诊断及治疗,以免贻误病情。
鱼生、醉蟹裏的虫能用酒、醋腌死吗?
别傻了!
很多人以为酒可以杀死寄生虫,其实哪怕醉上一个星期,这些虫也不会死。
高度酒、酱油、芥末、醋等调味料腌製都不能有效杀灭寄生虫,生食海鲜後喝烈酒、白醋,也不能起到杀灭寄生虫和细菌的作用。
但是,如此「刀枪不入」的奇生虫或病原体,却可以被100℃的开水「一枪爆头」。
广东有句俗话说,滚水利过剃刀,就是这个道理!
此外,菜刀下、砧板上的生熟污染也是厨房常见的重大安全漏洞之一。
所以,建议家裏备两个砧板、两把菜刀,分别用来加工生食和熟食,避免食物被污染,加工完生食应使用肥皂或洗手液彻底洗手。

奉劝各位老广小心为上
唔熟唔食啊!
