4月14日,香港大學深圳醫院(以下簡稱「港大深圳醫院」)聯合智善公益基金會舉辦脊柱畸形公益診療活動。智善公益基金會苗強秘書長,港大深圳醫院院長張文智教授、骨科醫學中心主任陶惠人教授和相關科室醫護代表,以及來自廣東、廣西、海南、河北、甘肅和香港等15個省和地區的120多名患者參加了公益診療活動。

現場有10位患者獲得手術捐助。
脊柱健康問題不容忽視
早發現早治療抓住最佳時機
脊柱是人體中很重要的一部分,給予人正常活動所需要的支撐。脊柱畸形可能導致多種身體問題,包括出現高低肩、駝背和脊柱側彎等。這些問題不僅影響患者外形體態美觀,還可能導致身體疼痛、疲勞和活動受限。長期未治療的脊柱畸形可能會影響心肺功能,甚至會導致呼吸衰竭和脊髓損傷,引起癱瘓,從而對患者的生命健康造成威脅。
此外,脊柱畸形對患者的心理影響也不容忽視。患者可能會因為自己的體態而感到自卑和焦慮,進而引起社交障礙和心理健康問題。
脊柱畸形在青少年中的發病率已經成為一個不容忽視的公共衛生問題,已成為繼肥胖、近視之後,危害青少年健康的第三大「成長殺手」,其中又以脊柱側彎尤為突出。
脊柱側彎的總體發病率為2%-3%,主要發生在10到16歲的青少年,是兒童青少年最常見的脊柱畸形。

張文智院長參與公益診療活動為患者看診。
港大深圳醫院公益診療活動現場,陶惠人教授提醒家長,脊柱側彎應做到早期發現和早期治療,如果發現孩子雙肩不等高,軀幹偏斜,腰兩側不對稱,彎腰後背部平面一邊高一邊低等情況,應盡早到醫院進行檢查,很多孩子由於就診時年齡偏大,錯過最佳治療時機。
聯合公益診療
助力患者重獲健康
港大深圳醫院已與智善公益基金會建立合作,本次脊柱畸形公益診療活動得到了智善公益基金會公益慈善項目「中國夢·脊樑工程」的支持和捐助。智善公益基金會苗強秘書長介紹了「中國夢·脊樑工程」項目,歡迎全國各地有需要的脊柱畸形家庭申請救助。據了解,「中國夢•脊樑工程」公益項目自2013年5月啟動,專門針對家庭經濟困難的脊柱側彎患者和強直性脊柱炎患者提供救助,捐贈最高5萬元的醫療費用,幫助他們解除疾病痛苦,減輕經濟負擔。
港大深圳醫院院長張文智教授介紹說:「醫院堅持『病人為先』理念,一直以來努力創建醫療公益平台,弘揚綠色醫療文化,倡導以人為本的醫療人文精神,積極聯合社會機構和個人力量,扶持困難危重患者和病友。未來,港大深圳醫院脊柱外科將聚焦複雜高難度脊柱手術,尤其是脊柱側彎的複雜高難度矯形手術,要達到和保持國際水準,力爭造福更多市民和患者。」
截至目前,港大深圳醫院因堅持公益善舉獲得港深兩地社會慈善捐贈逾 1.6 億元。醫院積極推行大病、罕見病救助項目,為全國近500位唇齶裂患者、190位骨骼發育不良患者提供免費醫療救助。

陶惠人教授為小患者檢查脊柱。
15個省和地區脊柱畸形患者深圳求診
專業診治與人文關懷帶來溫暖和希望
參加港大深圳醫院脊柱畸形公益診療活動的共有120餘名脊柱畸形患者,他們分別來自廣東、廣西、四川、雲南、貴州、海南、湖南、湖北、河南、河北、江蘇、江西、陝西、甘肅和香港等地,其中有80多位是從全國各地趕來就診的新患者,也有40多位是陶惠人教授手術痊癒的老患者前來複診。
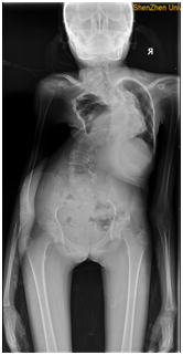
合併II型呼吸衰竭重度脊柱側彎、雙側髖關節僵直的摺疊人、合併腦癱的極重度脊柱側彎等多位患者在獲得治療後已自信回歸正常生活。今年32歲的鄒女士(化名)曾經差點放棄治療,她是II型呼吸衰竭的極重度脊柱側彎患者(FEV1(%)=17.5,BMI=12.9),手術風險極高,在陶惠人教授的堅持和專業治療下,手術順利且恢復良好,術後22個月的時候,鄒女士順利生育,母子平安。
公益診療活動現場,張文智教授、陶惠人教授等脊柱外科專家團隊為脊柱畸形患者免費制定個體化治療策略,並根據他們的實際情況提供了專業的康復指導和建議。智善公益基金會為患者捐贈了脊柱全長正側位 X光片費用,並將10位申請救助的極重度脊柱畸形患者納入捐贈範圍,為他們分擔部分手術費用。

智善公益基金會苗強秘書長為患者解答申請捐助問題。
陶惠人教授表示:「攜手智善公益基金會開展公益診療,是希望能幫助到更多患者,使脊柱健康問題得到更多關注和重視,讓脊柱畸形患者能夠挺直脊樑,放心去做自己想做的事情。」
港大深圳醫院骨科團隊依托香港大學瑪麗醫院骨科,為脊柱疾病患者提供全方位服務,提供脊柱側彎矯形手術、強直性脊柱炎後凸畸形截骨矯形手術、頸椎前後路手術、腰椎滑脫和椎管狹窄的手術治療、脊柱感染和結核的綜合治療以及脊柱壓縮性骨折和腰椎間盤突出症的微創治療,團隊與物理治療科緊密聯繫,為患者康復提供完善、規範、專業的綜合治療。

鄒女士手術前影像圖
2024年1月,香港大學醫學院人才引進陶惠人擔任臨床教授、顧問醫生、港大深圳醫院骨科醫學中心主任、脊柱外科主任。陶惠人教授獲深圳市政府特殊津貼,深圳市高層次人才,2019深圳市衛生健康十大傑出貢獻者,在國內外脊柱畸形矯治領域具有影響力。除了完成常見的頸胸腰椎疾病的治療外,陶惠人教授長期致力於重度脊柱畸形病人的治療,已成功救治複雜脊柱畸形患者3000餘例,是國內脊柱畸形手術例數最多、難度最大、效果最好的脊柱畸形矯正專家之一。2019年成功救治了國內首例極重度強直性脊柱炎後凸畸形的3-on摺疊人,在國內外引起了強烈反響。中央電視台新聞頻道做了長達17分鐘的專題報道,在Youtube上,專題片《打開摺疊人生》的點擊量過億。(記者林麗青 許傳軍 通訊員港深醫信)
頂圖:港大深圳醫院脊柱畸形公益診療活動現場。